Fakta om hælspore
- Hælspore er en irritationstilstand i svangsenen i det område, hvor den sidder fast på hælknoglen.
- I nogle tilfælde vil man kunne se en lille udtrækning af knoglen, der hvor svangsenen sidder fast.
- Smerterne sidder under hælen, ofte lidt foran hælpuden og lidt ind mod indersiden af hælen. Smerterne er som regel værst om morgenen, og de første par skridt, når man står op, kan være smertefulde.
- Man kan prøve at behandle hælspore med blandt andet træning, is og indlæg i skoen, men som regel vil det gå over af sig selv.
Hvad er hælspore?
'Hælspore' benyttes i hverdagen 'lidt i flæng' som betegnelse for lidelser, der giver smerter omkring hælen eller under svangen. I virkeligheden er denne betegnelse nok ganske misvisende - mere herom i næste afsnit.
Selve den lidelse, man tænker på når man siger 'hælspore', er en irritationstilstand (inflammation) i svangsenen (Fascia Plantaris), i det område hvor den sidder fast på hælknoglen. Betegnelsen bør derfor være 'Fasciitis Plantaris' eller 'inflammation i svangsenen'. Senen kommer ude fra tæerne og hæfter på hælknoglen (Calcaneus). Den hæfter ikke jævnt fordelt langs hælknoglen, så en stor del af trækket kommer på et relativt lille område. Derfor kan der godt forekomme et punkt, som er mere ømt end resten af området. Det er ikke denne sene, der bevæger tæerne, den er med til at bevare svangens længdebue.
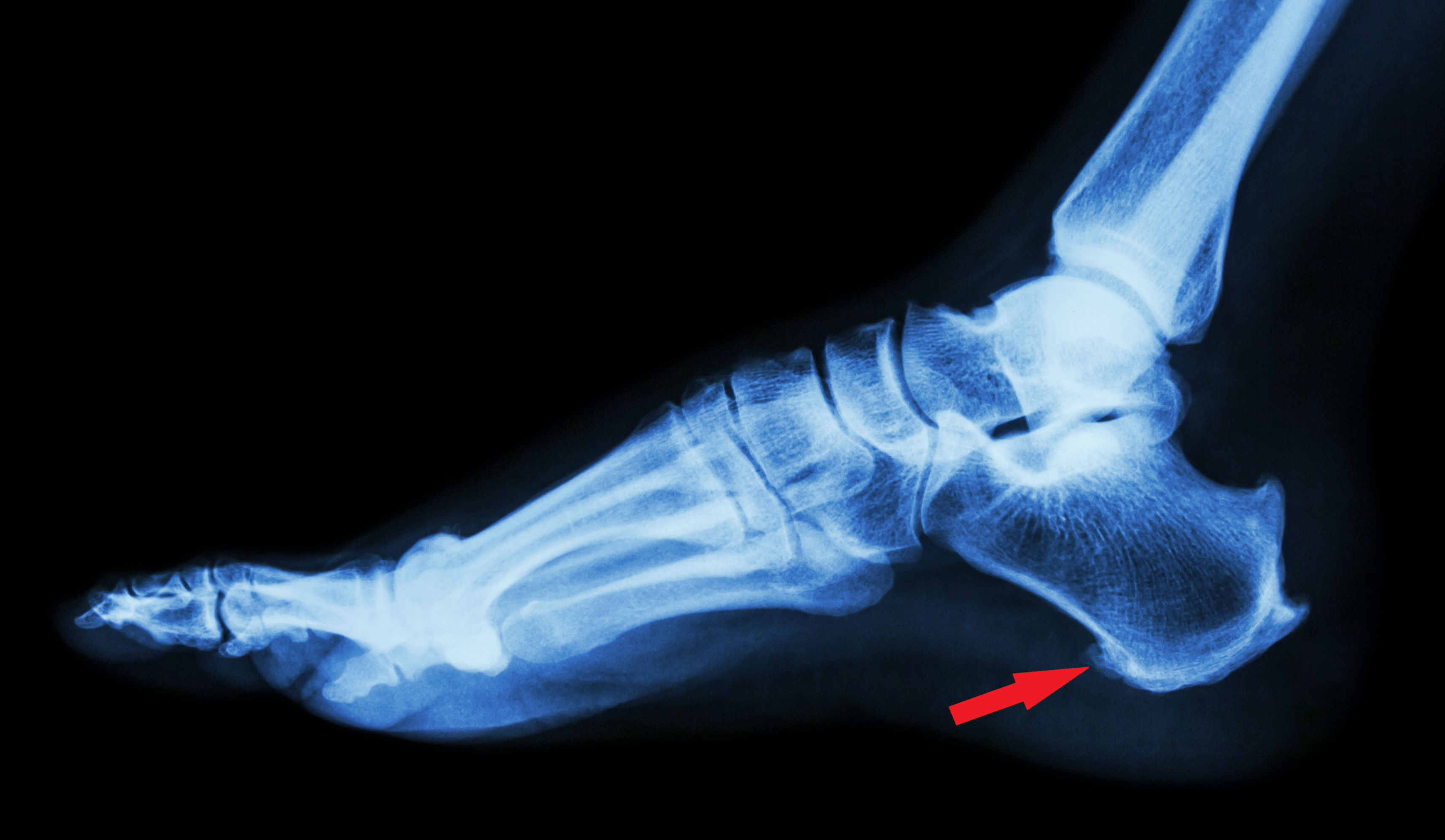
Illustration af hælspore
Billede: IStock.com
Hvorfor hedder det hælspore?
Diagnosen 'hælspore', stammer i virkeligheden fra beskrivelsen af røntgenbilleder taget af patienter med symptomer. På røtgenbillederne kan man ofte se en lille 'udtrækning' af hælknoglen fortil, hvor svangsenen sidder fast. Det ligner på røntgenbilleder en lille 'spore', deraf navnet. Man troede engang, at det var denne spore, der var årsag til alle symptomerne.
Det har imidlertid vist sig, at der ikke er nogen klar sammenhæng mellem det at have en hælspore og det at have symptomer. Rigtig mange har symptomer men ingen hælspore på deres røntgenbilleder, mens der er mange, der har en hælspore, men aldrig symptomer. Så man kan som udgangspunkt ikke stille diagnosen ud fra et røntgenbillede. Men, i nogle tilfælde skal man bruge et røntgenbillede til at udelukke en eventuel anden lidelse.
Hvad er symptomerne på hælspore?

Symptomerne er først og fremmest smerter. De fleste klager over gradvis tiltagende smerter, men nogle føler faktisk, at symptomerne udvikler sig fra dag til dag. Smerterne sidder oftest under hælen, ofte lidt foran hælpuden og lidt ind mod indersiden af hælen. Smerterne er ofte værst om morgenen, og de første par skridt, når man står op, kan være ret smertefulde. Herefter kan der komme forværring hver gang man har haft foden i ro og skal igang igen. Smerterne kan både stråle frem i foden og om i hælpuden (hvis der kun er smerter i hælpuden, kan der være tale om en inflammation i selve hælpuden).
Der kan udvikle sig belastningssmerter, så almindelig gang bliver smertefuld og nogle gange endda så voldsomt, at man faktisk afholder sig fra at gå. Hvis man går/står meget på job, kan det faktisk blive nødvendigt med sygemelding hos nogle.
Der kan med tiden også udvikle sig hvilesmerter, som så oftest vil være værst om aftenen. Det er meget individuelt hvor udtalte symptomerne er.
Hvordan stiller lægen diagnosen hælspore?
Lægen behøver næsten kun at lytte til patientens sygehistorie, da denne vil være ret typisk. Lægen vil kunne påvise ømhed svarende til området for senens tilhæftning på hælknoglen blot ved at trykke på området og denne ømhed kan forværres, hvis tæerne samtidigt bøjes bagud. Nogle gange ses en let hævelse i området som tegn på udtalt irritation. Hævelse kan også være udtryk for en brist i senen, men vil så ofte være mere udtalt. Oftest er der ikke behov for yderligere undersøgelse.
Hvis lægen har mistanke om en lidelse i selve hælknoglen, kan man foretage en almindelig røntgenundersøgelse, men ud over dette, er røntgen ikke brugbart. Man kan ved ultralydsundersøgelse eller ved MR-scanning påvise, om der er en irritationstilstand i senen. Det er sjældent nødvendigt at foretage disse undersøgelser, og man vil oftest kun foretage dem, hvis man mistænker, at der eventuelt kan være en anden årsag til smerterne.
Hvorfor får man hælspore?
Der er ikke nogen entydig forklaring på, hvorfor man får 'hælspore' (inflammation i svangsenen). Der er sandsynligvis altid tale om, at der har været en overbelastning af området hvor svangsenen hæfter på hælknoglen. Men årsagen til denne overbelastning kan variere. Det kan være
- brug af uhensigtsmæssigt fodtøj,
- øgning i mængden af belastning på foden,
- 'fejlstilling' i foden,
- overvægt
- en kombination af flere årsager.
Hvordan behandles hælspore?
Som regel er den bedste behandling tålmodighed. Det skal forstås på den måde, at de fleste tilfælde går over af sig selv. Men desværre kan det vare op til 2 år.
Aflastning
Man kan prøve at aflaste foden, således at senen får ro. Dette betyder ikke, at man slet ikke skal bruge foden, men at man ikke skal belaste senen for meget.
Is
Man kan også dæmpe symptomerne lidt ved at nedkøle området med is om aftenen.
Korrigerende indlæg
Hvis man har en egentlig 'fejlstilling i foden', vil et indlæg til korrektion af dette sandsynligvis kunne hjælpe.
Tape
Tapening har en positiv virkning hos nogle patienter.
Træning
Træning af 'de små muskler' i foden har sandsynligvis en effekt, da man derved kan fjerne noget af belastningen på senen.
Se her, hvordan du kan træne de små muskler i foden
Læs mere om træning mod hælspore i artiklen: Behandling af hælspore.
NSAID
De såkaldte NSAID (smertestillende og inflammationsdæmpende medicin, også kendt som 'gigtpille-præparater') har sjældent nogen effekt.
Blokade
Blokader (indsprøjtning med binyrebarkhormon), har hos nogle patienter en virkelig god effekt. Virkningen varer dog sjældent mere end nogle måneder, men kan eventuelt gentages. Hvis der overhovedet ikke er nogen virkning af den første blokade, skal man som hovedregel ikke gentage dette.
Der er desuden beskrevet en masse muligheder for afhjælpning af problemet. Men, fælles for de fleste er, at de mangler videnskabeligt bevis for effekten. Behandlinger som laser eller shockbølge-behandling eller diverse hælsporeindlæg har ikke nogen beviselig effekt. Der er dog altid patienter, der har glæde af den ene eller den anden behandling. Men sikre retningslinier for, hvem der kan have glæde af hvilken behandling, mangler.
Operation
I sjældne tilfælde kan operation komme på tale. Der findes forskellige metoder, lige fra en såkaldt 'nålemetode' i lokalbedøvelse til mere omfattende indgreb. Men dette er kun ved langvarige, svære tilfælde. Resultaterne er heller ikke altid overbevisende.
Hvad er fremtidsudsigterne?
Hvis man har kunnet finde ud af, hvad der har været medvirkende til at man fik en hælspore, er det vigtigt, at man fremover er opmærksom på at undgå disse årsager. For eksempel kan det hos nogle være nødvendigt med varigt brug af korrigerende indlæg.
Hælspore kan desværre komme igen, selv om man er blevet fuldstændig symptomfri og har været rask i lang tid. Det er vanskeligt at sige, om der generelt set er en øget risiko for at få hælspore igen, hvis man én gang har haft det. Men hvis man ikke gør noget ved eventuelle faktorer, der tidligere har medvirket til udviklingen af hælspore, er risikoen for tilbagefald jo til stede.