Hvad er spredfødder?
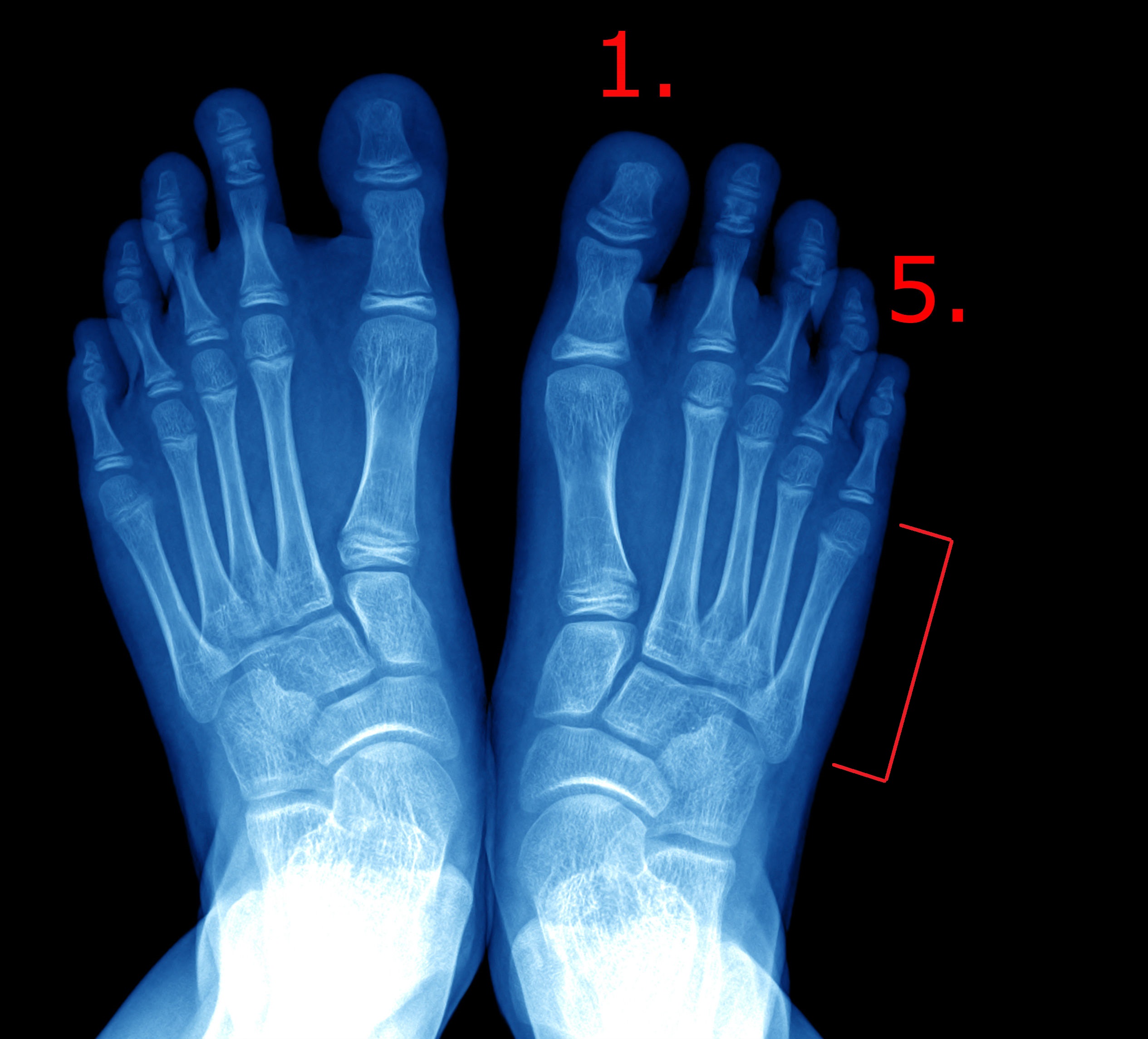
En spredfod er en tilstand, hvor mellemfodsknoglerne (se billede) er spredt fra hinanden. Der er to former for spredfod:
-
Ved den første type (metatarsus primus varus) er det kun første tåstråle (se billede), der spreder sig væk fra de øvrige fire mellemfodsknogler. Tåstrålen er den række knogler, der dannes af den første mellemfodsknogle og de efterfølgende tåknogler. Når man taler om første tåstråle, er det den tåstråle, der ender som storetåen, og femte tåstråle ender som lilletåen. Denne form for spredfod er arvelig, men den kan springe nogle generationsled over for så at dukke op igen.
- Ved den anden type spredfod (metatarsus latus) er det alle mellemfodens knogler, der spreder sig væk fra hinanden, så første og femte tåstråle peger "i hver sin retning". Dette giver en meget bred forfod. Der sker det, at fodens tværbue synker og derved spredes knoglerne. Dette er noget der udvikles gennem livet, men det kan hos enkelte ses fra ungdommen.

Hvordan føles spredfødder?
Når man ikke har sko på, kan man ikke mærke, at man har spredfødder. Men når en sådan bredere fod skal ned i et par almindelige sko, opstår der gener ved trykket fra såvel overlæderet som fra siderne på skoen.
Der kan også udvikle sig følgetilstande hen ad vejen, hvis foden presses ned i for smalle sko. Der kan dannes knyster, som så kan kræve behandling. Knysten opstår hvis storetåen begynder at pege ind mod de andre tæer, således at man får en 'vinkel' på første tåstråle svarende til storetåens grundled. Man har så en "Hallux valgus" (skæv storetå).
Hvad kan man selv gøre?
-
Ved metatarsus primus varus ses det allerede fra ungdommen, at første tåstråle peger væk fra de andre mellemfodsknogler. Hvis man starter tidligt, kan man med en hallux valgus-natbandage måske hindre, at der dannes en skæv storetå (hallux valgus) med knyster. En sådan natbandage mindsker også tendensen til, at første tåstråle fjerner sig mere og mere fra de andre tæer. Endvidere bør sådanne fødder have så bredt fodtøj på som muligt i opvæksten og også gerne senere. Det betyder ikke noget en enkelt gang i ny og næ at tage smalt fodtøj på, hvis man blot resten af tiden går i bredt fodtøj. Hvis tilstanden medfører problemer med at få ordentlig fodtøj eller at have sko på, eller hvis man får ondt i foden/storetåens grundled, kan man overveje operation.
- Ved den brede spredfod (metatarsus latus) bør man også gå med brede sko eventuelt håndsyede sko, eller på et senere tidspunkt få foretaget en korrigerende operation, som kan gøre foden smallere.
Hvordan stiller lægen diagnosen?
Dette kan gøres blot ved at se på foden. Det er ofte en god idé at få foretaget røntgen af fødderne. På et røntgenbillede kan man se knoglernes indbyrdes forhold, og om det har påvirket leddene mellem knoglerne. Hvis man overvejer at operere, skal lægen bruge røntgenbilleder til at bedømme knoglernes placering i forhold til hinanden samt vurdere leddene, og ud fra dette beslutte sig for hvilken operationsmetode, der eventuelt kan tilbydes.
Hvordan behandles spredfødder?
Har man den første type spredfod: metatarsus primus varus, bør man starte tidligt med en såkaldt natskinne. Man behøver dog ikke at have den på hver nat. Natskinne kan være nødvendig fremover, hvis man vil prøve at undgå dannelsen af skæv storetå med risiko for knyster. Man bør købe sko, som er tilpas brede.
En sidste mulighed for behandling er at få opereret sine fødder smallere. Det kan gøres ved at ændre på den første - og eventuelt også på den femte - mellemfodsknogles retning. Man kan ved denne operation ofte opnå en 1-2 centimeter smallere fod. Operationsmetoden kan variere afhængig af knoglernes stilling i foden.
Udsigt for fremtiden
Hvis man benytter brede sko, natskinne eller får opereret sine fødder, får man næppe problemer senere i tilværelsen. En operation udelukker ikke, at tilstanden kan udvikle sig lidt igen, senere i livet, da der vil være en fortsat belastning på foden. Hvis man blot presser sine fødder ned i for smalt fodtøj, kan man eventuelt senere udvikle forfodsplatfod, skæv storetå, stiv storetå og knyster.