Hvad er en knoglemarvsundersøgelse?
**Magasin om behandling af kræft (2016)

Dyk ned i Netdoktors magasin, 'UPDATE - Kræft' (2016). Her kan du læse om immunterapi og opfindelsen af kemoterapi. LÆS HER
En knoglemarvsundersøgelse er en prøve af knoglemarven, som udtages fra hoftebenskammen med en speciel kanyle. Blodets celler, både de røde og hvide blodlegemer samt blodpladerne, dannes alle i knoglemarven. En knoglemarvsprøve giver således mulighed for at undersøge blodets celler i knoglemarven. Det kan eksempelvis give vigtige oplysninger om cellernes udseende, unormal cellefordeling i knoglemarven og eventuel forekomst af kræftceller.
Resultatet af en knoglemarvsundersøgelse kan anvendes til at stille diagnosen ved en lang række knoglemarvs-, blod- og lymfesygdomme. Der kan være tale om både godartede sygdomme og kræftsygdomme. Det kan ligeledes være nødvendigt at gentage en knoglemarvsundersøgelse, når man skal kontrollere effekten af en behandling.
Kort om knoglemarven
Blodets celler bliver produceret i knoglemarven ud fra såkaldte stamceller. De færdige blodceller er:
-
røde blodlegemer (transporterer ilt rundt i kroppen)
-
hvide blodlegemer (vigtig del af immunforsvaret og til bekæmpelse af infektioner)
- blodplader (standser blødninger)
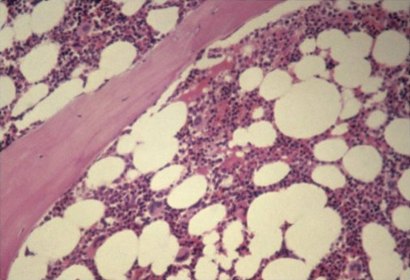
Knoglemarven findes i hulrummet inde i knoglerne. Den mest aktive og bloddannende del af knoglemarven befinder sig i kraniet, ribbenene, rygsøjlen, bækkenet og de lange knogler i overarme og lårben. I mikroskopet kan en normal knoglemarv se sådan ud:

Knoglemarvsprøven tages fra hoftebenskammen på enten venstre eller højre side, fordi denne placering er teknisk det bedste i forhold til at få en god prøve med mindst mulige gener. Ved en knoglemarvsprøve tages normalt følgende vævsprøver:
-
et lille stykke knogle fra hoftekammen
-
udsugning af knoglemarv fra hoftekammen
- blodprøve fra øreflippen
Både det lille stykke knogle, marven og blodet stryges ud på objektglas egnet til at kigge på i et mikroskop. Nogle af undersøgelserne tager flere dage i laboratoriet, og der kan gå en uge, før lægen har svar.
Hvorfor undersøger man knoglemarven?
Ved undersøgelse af knoglemarven kan lægen vurdere, om produktionen af blodceller foregår normalt. Desuden kan man se, om der er celler til stede, der normalt ikke findes i knoglemarven. Det kan i nogle tilfælde være kræftceller. Derfor er undersøgelsen vigtig for at kunne stille en præcis diagnose ved især forskellige blodsygdomme. Det kan være ved mistanke om leukæmi, myelomatose (knoglemarvskræft) og lymfekræft. Ved lymfekræft stilles diagnosen dog oftest ved at tage en vævsprøve fra en hævet lymfeknude, men ofte ønsker lægen at undersøge om der også findes lymfekræftceller i knoglemarven.
Hvis der er fundet sygdom i knoglemarven vil det ved flere sygdomme være nødvendigt at gentage knoglemarvsprøven for at se effekten af behandlingen eller for at vurdere, hvorledes sygdommen udvikler sig.
Endelig vil det for flere sygdommes vedkommende være nødvendigt med specialanalyser af knoglemarven for at lægen kan bestemme den korrekte behandling. Disse specialanalyser kan eksempelvis være undersøgelse af blodcellernes arvemateriale (gen- og kromosomforandringer).
Hvordan foregår en knoglemarvsundersøgelse?
En knoglemarvsundersøgelse foretages ambulant og varer typisk 20-30 minutter. Hos børn vil man dog oftest vælge at udføre undersøgelsen i fuld bedøvelse. Før undersøgelsen vil personalet informere dig om undersøgelsen. Ofte vil du før undersøgelsen også modtage en skriftlig patientinformation. Der deltager to personer - dels den person, som udfører undersøgelsen og dels en assistent. Er man nervøs, kan der tilbydes beroligende medicin.
Til selve undersøgelsen findes der mange typer knoglemarvskanyler. Et eksempel på en kanyle ses på billedet nedenfor, men uanset hvilken kanyle, der anvendes, foregår proceduren på samme måde.

Du vil blive lagt på den ene side med ryggen til undersøgeren. Der lægges først en lokalbedøvelse og huden desinficeres. Lokalbedøvelsen lægges under huden, hvilket kan spænde lidt. Endvidere lægges den inde ved den yderste knoglehinde, hvilket i nogle tilfælde kan medføre en let smerte. Efter nogle minutter, når lokalbedøvelsen virker, tages prøven fra hoftekammen i højde med lænden. Kanylen føres et lille stykke ind i knoglen, hvorefter man med en sprøjte på kanylen suger lidt knoglemarv ud. Desuden udtager man med samme kanyle et lille tyndt knoglestykke. Der forekommer ofte let smerte i forbindelse med undersøgelsen, men denne opleves meget individuelt. Hyppigst oplever man et "sug" eller "jag" i det ene ben, når knoglemarven suges op i sprøjten. Dette varer dog kun få sekunder.
Efter undersøgelsen påsættes en mindre forbinding, som kan fjernes dagen efter. Du skal ligge på ryggen på lejet i op til 30 minutter efter undersøgelsen. Du må herefter tage hjem og kan fungere som vanligt. Du må dog først tage bad 24 timer efterundersøgelsen. Efter undersøgelsen kan man være lidt øm svarende til det sted, hvor prøven er taget. Ømheden kan som regel lindres med en almindelig smertestillende tablet (hovedpinepille).
Hvilke risici/komplikationer er der forbundet med en knoglemarvsundersøgelse?
Det er meget sjældent, at der kommer komplikationer til en Det er meget sjældent, at der kommer komplikationer til en knoglemarvsundersøgelse. I enkelte tilfælde kan smerterne eller ømheden vare lidt længere, og i sjældne tilfælde kan der komme en blødning.
Har man meget lave blodplader, er der en lidt større risiko for blødning. Derfor kan det i nogle tilfælde være nødvendigt, at man får en transfusion med blodplader før knoglemarvsundersøgelsen. Desuden vil afdelingen altid bede om en blodprøve før undersøgelsen, som kontrol af blodplader og andre prøver, for at sikre en normal koagulation af blodet, det vil sige at blodet størkner.
Er du i behandling med blodfortyndende medicin, skal du gøre opmærksom på dette inden undersøgelsen. Her vil blodprøven vise, om den blodfortyndende behandling er velreguleret. I nogle tilfælde vil afdelingen bede dig om at holde en kort pause med din blodfortyndende medicin inden undersøgelsen.
I sjældne tilfælde kan man tidligere have oplevet en allergisk reaktion ved lokalbedøvelse. Hvis dette er tilfældet, skal du også huske at oplyse det før undersøgelsen. Skulle du opleve blødning, feber, stærke smerter eller anden usædvanlig reaktion efter, du er kommet hjem, skal du straks kontakte afdelingen.
Hvor lang tid går der, før man får svar?
Svar på undersøgelsen foreligger efter cirka en uge. I nogle tilfælde vil svaret på mere specielle analyser dog først foreligge efter et par uger. Du vil få en svartid hos en læge på afdelingen.