Hvad er nyrekræft?
Kræft i nyren er en kræftform, som udvikles i nyrevævet til forskel fra nyrebækkenkræft, som udvikles i den slimhinde, der beklæder urinvejene indeni (urinvejsepitelet). De to sygdomme er vidt forskellige. I denne artikel omtales kun de nyretumorer, som udvikles i nyrevævet i voksen alder.
En tumor (svulst) opstår, fordi der sker en fejl i celledelingen, så cellerne deler sig abnormt. Der skelnes mellem godartede og ondartede tumorer. En godartet tumor består af celler, som har en begrænset celledeling, mens en ondartet tumor indeholder celler, som deler sig ukontrolleret. De godartede udgør omkring 20 procent af alle nyretumorer.
Diagnosen stilles primært med forskellige røntgenundersøgelser, og den præcise diagnose kan stilles med en vævsprøve (også kaldet biopsi). Vævsprøven tages med en 0,8 mm tyk nål, som vejledt af ultralyd stikkes gennem huden ind i svulsten.
Se også Netdoktors nye magasin om nyrekræft
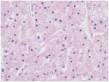
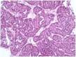
Sådan foregår en undersøgelse af nyrevæv
De små biopsier klargøres hurtigt til videre undersøgelse, og et svar kan sædvanligvis gives i løbet af 3 dage. Store vævsprøver som hele nyren med tumor eller dele af nyren med tumor lægges i formalin i mindst 24 timer for at fiksere vævet. Derefter undersøges det og der tages stilling til:
- hvor tumoren sidder og hvordan den ser ud
- tumorens størrelse
- tumors forhold til nyrens kapsel og relation til kar.
En del af vævet sendes herefter til mikroskopisk analyse for at belyse tumortype og de forhold, som er afgørende for at kunne vurdere, hvor alvorlig kræftsygdommen er og hvilken behandlingsform patienten skal tilbydes. De opsamlede data beskrives i et patologisvar, som er tilgængeligt i den elektroniske patientjournal og på Sundhed.dk.
Ondartede nyretumorer
Der er mange forskellige former for nyrekræft, som ser forskellige ud i mikroskopet, og som opfører sig forskelligt i nyrerne. Nogle typer er mere aggressive end andre, og valg af behandling samt udsigten til at blive helbredt afhænger blandt andet af, hvilken type nyrekræft man har. Nyrekræft inddeles i følgende undertyper, som alle har en evne til at udvikle sig til mere aggressive former:
Clear celle karcinom:

Papillært karcinom:

- Type 1, som er relativ godartet. Denne tumor vokser langsomt og spreder sig sjældent.
- Type 2, som er betydeligt mere aggressiv.
Kromofobt karcinom:

Øvrige kræftformer: Der er mange andre kræftformer i nyrerne, men de er sjældne, og udgør under fem procent af de ondartede nyretumorer.
Godartede nyretumorer
De godartede nyretumorer blev tidligere behandlet på samme måde som nyrekræft. Dette er ikke altid nødvendigt, da de vokser langsomt, og ikke har evnen til at sprede sig. Patienter, som får et godartet svar, bliver for en sikkerheds skyld fulgt klinisk i nogle år, før mistanken om nyrekræft endeligt afskrives helt.
Onkocytom:

Angiomyolipom:

Stadieinddeling af nyrekræft:
Man inddeler nyrekræft i forskellige stadier, og dette danner udgangspunkt for, hvilken behandling man vælger, og hvordan mulighederne for helbredelse er. Der findes forskellige skalaer at inddele (også kaldet gradere) sygdommen i, men de mest anvendte er i dag Fuhrman-graderingen og TNM-klassifikationen.
Fuhrman grad: Inddeling efter Fuhrman-skalen tager udgangspunkt i, hvordan cellerne i en vævsprøve ser ud. Kræftceller ser nemlig anderledes ud end normale raske celler. Man ser på to ting: kernerne i cellerne og kernelegemerne (nukleoler), der sidder inde i cellekernerne. Alt efter hvor anderledes (atypiske) cellerne er, inddeles de grad 1 til grad 4, hvor grad 1 er mindst ondartet. Man bruger Fuhrman-graden til at vurdere sygdommens alvor.
TNM klassifikation: TNM klassifikation er en klassifikation af tumorerne. T står for tumorforhold, N står for lymfeknudespredning, og M er forekomst af spredning til andre organer. Ved TNM-klassifikation ser man på:
-
tumorens størrelse
-
forhold til nyrernes afgrænsning
-
om tumoren er vokset ind i de kar, der fører blodet væk fra nyren og tilbage til hjertet
- om kræften har spredt i kroppen.
Man bruger TNM-klassifikation til at vurdere patientens prognose.
Leibovich score: Leibovich score er en inddeling, som er afhængig af TNM-klassifikationen og Fuhrman-grad. Jo højere graden er, desto dårligere er helbredelseschancerne. Inddelingen er fra 0 til 11.
MDT møder
Nyopdagede nyretumorer og operationspræparater drøftes hver uge ved et møde i multidisciplinære teams (MDT). Ved disse møder deltager de afdelinger, som er involveret i udredning og behandling af nyretumorer, hvilket vil sige kirurger, onkologer, røntgenlæger og patologer. Her bliver fagfolkene enige om behandlingstilbud til patienterne og drøfter mulighederne for efterbehandling af kræftsygdommen.